近年の研究により、肩こり・腰痛などの痛みは筋膜の癒着が原因であることがわかってきました。
エコーガイド下ハイドロリリース(筋膜リリース)とは、エコー(超音波)で筋膜を確認しながら、痛みの原因となっている筋膜癒着部に生理食塩水を注射し、その癒着を剥がす治療です。肩こり、腰痛等に長くお悩みの方は、ぜひ一度ご相談ください。
このような
お悩みの方に
おすすめです
- 肩こりや腰痛がひどい
- 整体やマッサージで痛みが改善しない
- 体に負担の少ない方法で治療したい
- いろいろな治療を試したが改善しない
対象となる疾患
-
- テニス肘
- ゴルフ肘
-
- 肩こり
- 五十肩
-
- 腰痛
- 坐骨神経痛
-
- 肘関節痛
- 股関節痛
治療のポイント
トリガーポイントをエコーで診断
痛みの原因となるトリガーポイントをエコーで診断します。トリガーポイントは、痛みを感じる場所にあるとは限らず、離れた場所にあることがあります。
薬剤を注入し、筋膜の癒着を改善
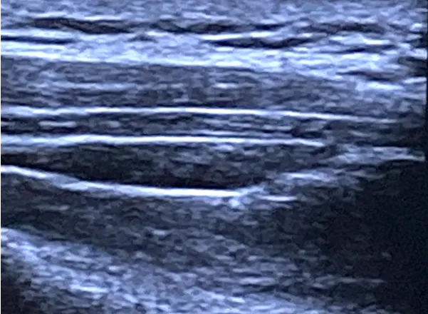
エコーで正確にトリガーポイントを見ながら、生理用食塩水を注射し、癒着している筋膜を剥がします。筋膜が剥がれていく様子を、モニターで見ていただくことも可能です。
筋膜に水が入り、剥がれた状態
(赤矢印でさした黒い部分が水)
さらに効果を高めたい方へ
ハイドロリリースで一時的に痛みが引いても、すぐに症状が戻ってしまう。それは組織自体に損傷や炎症が残っているからかもしれません。当院では、自身の再生力を利用して組織の修復を促す「PRP治療」との併用もご提案しています。
ハイドロリリース
PRP治療
治療の目的
「癒着を剥がす」
筋膜の滑走性を高め、動きを改善
筋膜の滑走性を高め、動きを改善
「組織を修復する」
損傷した組織の
再生・治癒を促進
損傷した組織の
再生・治癒を促進
主な
メカニズム
メカニズム
生理食塩水の注入
による物理的な剥離
による物理的な剥離
自身の血液成分
(成長因子)による
自己治癒力の活性化
(成長因子)による
自己治癒力の活性化
こんな症状に
一時的な肩こり、
筋膜由来の痛み、
軽い関節の引っかかり
筋膜由来の痛み、
軽い関節の引っかかり
慢性的な痛み、腱の損傷、変形性膝関節症、再発を繰り返す痛み
持続性の目安
短期的
(数日〜数週間)
※生活習慣により再発しやすい
(数日〜数週間)
※生活習慣により再発しやすい
長期的
(数年単位)
※組織そのものの修復を目指すため
(数年単位)
※組織そのものの修復を目指すため
通院の頻度
1〜2週間に1回程度
(複数回推奨)
(複数回推奨)
1回〜数ヶ月おき
(状態による)
(状態による)
メリット
即効性があり、
費用が安価で気軽に
受けられる
費用が安価で気軽に
受けられる
根本治療が期待でき、重度の痛みや
スポーツの早期復帰に
適している
スポーツの早期復帰に
適している
料金
| 診察料 |
2,000
円
(税込 2,200円)
|
| 部位 | 価格 |
|---|---|
| 右肩、左肩、腰部など |
1部位
3,000
円
(税込 3,300円)
|
治療概要・禁忌・リスクについて
| 項目 | 内容 |
|---|---|
| 所要時間 | 30分程度 |
| 副作用 |
|
| 禁 忌 |
|
よくある質問
施術の際に痛みはありますか?
採血の時と同等の痛みがあります。生理食塩水を注入する際は、痛みを感じない方がほとんどですが、たまに痛みを感じる方もおられます。
治療後、どれくらいで効果が得られますか?
個人差がありますが、治療後すぐに効果を実感いただける方が多いです。
一度の治療で、複数の箇所に注射をすることも可能ですか?
基本的に何か所でも実施可能です。その都度、医師にご相談下さい。
何回ぐらい受ければよいのですか?
個人差があり、1回の注射でよくなる方もいれば、頻回の注射が必要な方もおられます。効果を判断し、医師と相談しながら決めていくのがよいかと思います。
医師監修・
診療実績について
略歴・資格・所属学会を閉じる
略歴
2002年3月
京都府立医科大学 卒業
2002年4月
同附属病院整形外科 勤務
2012年3月
京都府立医科大学大学院 卒業 (医学博士取得) (PRPに関する論文が世界的再生医療雑誌Tissue Eng.に掲載)
2014年2月
赤羽ウェルネスクリニック 開院
2015年5月
PRPに関する研究が米国で特許取得
2018年1月
医療法人社団康静会 理事長就任
資格
医学博士
下肢静脈瘤血管内焼灼術指導医
日本脈管学会 脈管専門医
日本整形外科学会 専門医
弾性ストッキング・コンダクター
所属学会
日本再生医療学会
日本静脈学会
日本脈管学会
日本整形外科学会




